by youadmin | Jul 14, 2025
Esta paciente procurou-nos com o desejo de melhorar a estética do seu sorriso. Realizou tratamento ortodôntico e, para finalizar em grande, realizou um branqueamento dentário que fez toda a diferença. A Dr.ª Daniela Paiva recorreu ao Philips Zoom Office — uma...
by youadmin | Out 16, 2023
Esta paciente não estava satisfeita com o seu sorriso: tinha sorriso gengival e outros detalhes que queria muito melhorar. Este caso multidisciplinar envolveu: harmonização facial (com aplicações de ácido hialurónico e Botox®), periodontologia, implantologia (com a...
by youadmin | Out 13, 2023
Esta paciente tinha como objetivo melhorar a estética tanto do sorriso como do rosto. O plano de tratamentos incluiu: destartarização, branqueamento dentário, tratamento endodôntico (a vulgar “desvitalização”), reabilitação fixa, cirurgia oral, restaurações dentárias...
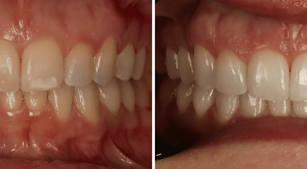
by youadmin | Out 13, 2023
Esta paciente de 47 anos estava insatisfeita com o seu sorriso, principalmente com as restaurações antigas visíveis e inestéticas. Com recurso a um branqueamento dentário e à realização de novas restaurações, conseguimos melhorar não só a estética, mas também a...
by youadmin | Mai 6, 2023
Esta paciente (23 anos) realizou um tratamento ortodôntico na YOU. Contudo, o seu sorriso ainda precisava de uma melhoria: apresentava algumas manchas inestéticas que deveriam ser removidas. A solução para o seu caso passou então pela tecnologia ICON® de resina...