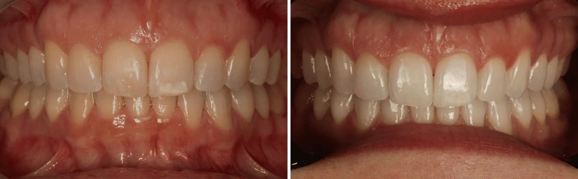
Esta paciente procurou-nos com o desejo de melhorar a estética do seu sorriso.
Realizou tratamento ortodôntico e, para finalizar em grande, realizou um branqueamento dentário que fez toda a diferença.
A Dr.ª Daniela Paiva recorreu ao Philips Zoom Office — uma tecnologia que utiliza uma luz para ativar o gel branqueador e que mantém a integridade do dente — para realizar o branqueamento dentário em consultório.
corpo clínico
equipa responsável
OMD 7534


