Usar aparelho invisível em adulto? A melhor opção para o alinhamento dentário.
Transparentes e removíveis, esta opção ortodôntica torna-se mais eficiente do que o aparelho dentário fixo e envolve menos consultas no Médico Dentista. Só vantagens para um adulto com uma vida muito atarefada.
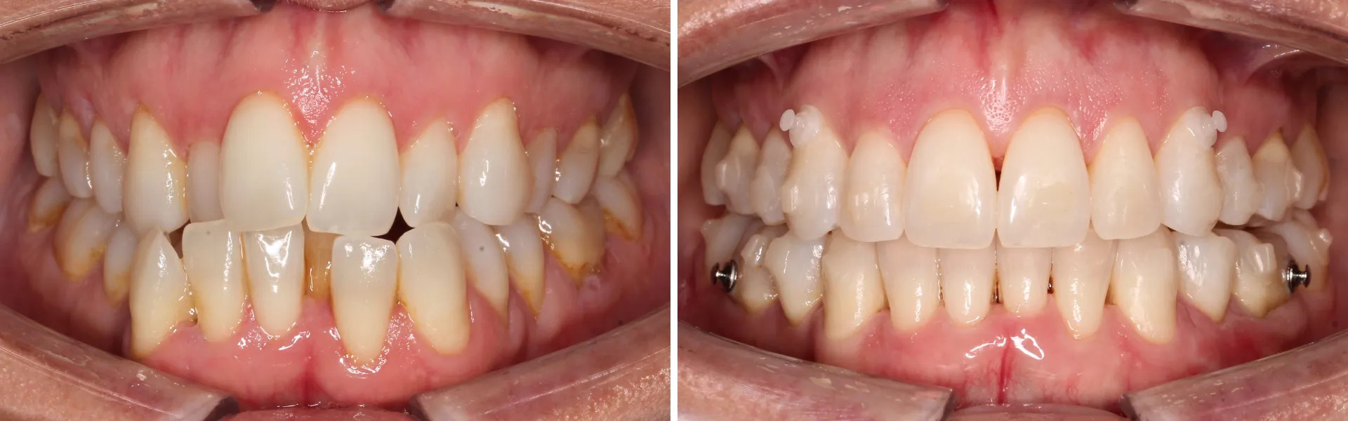
Nesta paciente, ainda em tratamento, foram extraídos 2 pré-molares inferiores para permitir o alinhamento dentário e equilibrar a mordida relativamente ao maxilar superior.
corpo clínico
equipa responsável
OMD 7303


