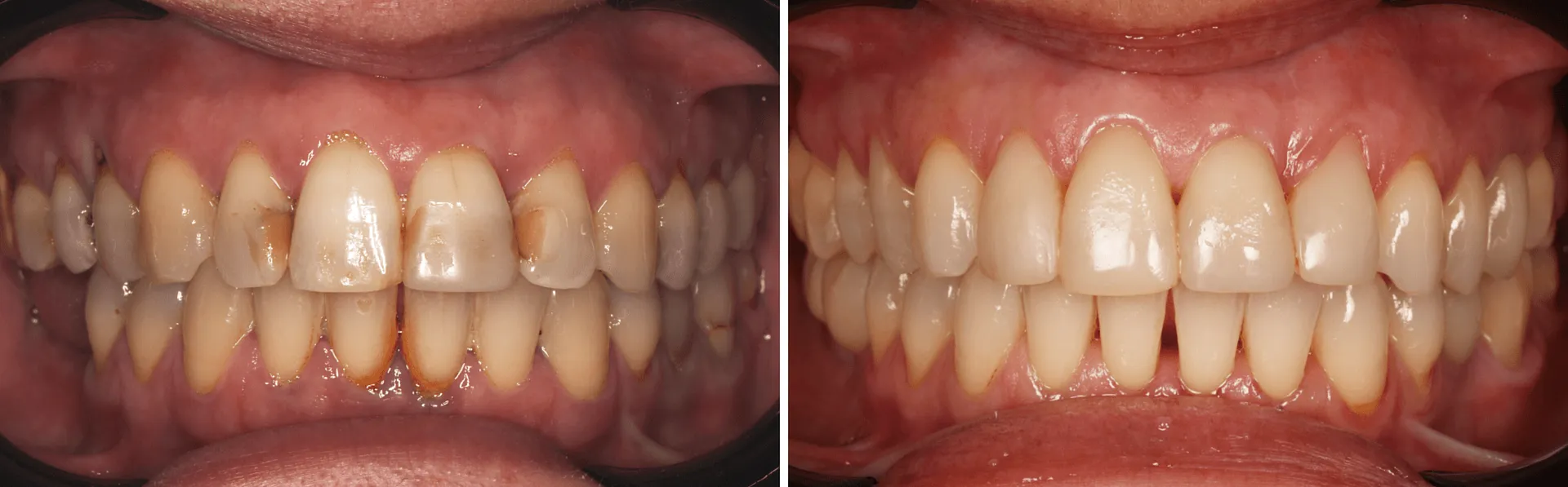
Esta paciente de 47 anos estava insatisfeita com o seu sorriso, principalmente com as restaurações antigas visíveis e inestéticas.
Com recurso a um branqueamento dentário e à realização de novas restaurações, conseguimos melhorar não só a estética, mas também a funcionalidade do sorriso da paciente.
corpo clínico
equipa responsável
OMD 7534


