As manchas brancas na superfície dos dentes são um problema para muitas pessoas, alterando toda a estética do sorriso e condicionando muitas vezes a autoestima do paciente. Contudo, mais do que um problema estético, estas manchas podem revelar problemas na saúde oral.
Neste artigo, vou explicar-vos as causas das manchas brancas nos dentes e como as podemos tratar.
Por que surgem manchas brancas nos dentes?
As manchas brancas na superfície dos dentes podem ter causas distintas e são a tradução de alterações na constituição da estrutura dentária. Assim, a primeira abordagem passa sempre por avaliar a extensão dessas lesões e perceber o que as causou:
- fase inicial de uma lesão de cárie;
- excesso de flúor durante a fase de formação do dente;
- causas genéticas;
- défices vitamínicos;
- traumas ou cáries nos dentes decíduos (de leite);
- alterações no pH da saliva.
Como tratar as manchas brancas nos dentes?
No seguimento desta avaliação primária é possível perceber que tipo de tratamento será o mais indicado para as manchas brancas nos dentes e, sempre que possível, corrigir também os fatores causais.
Branqueamento dentário
Em primeiro lugar, e em casos menos severos, um branqueamento dentário pode ser suficiente para um resultado estético satisfatório disfarçando a percepção destas lesões.
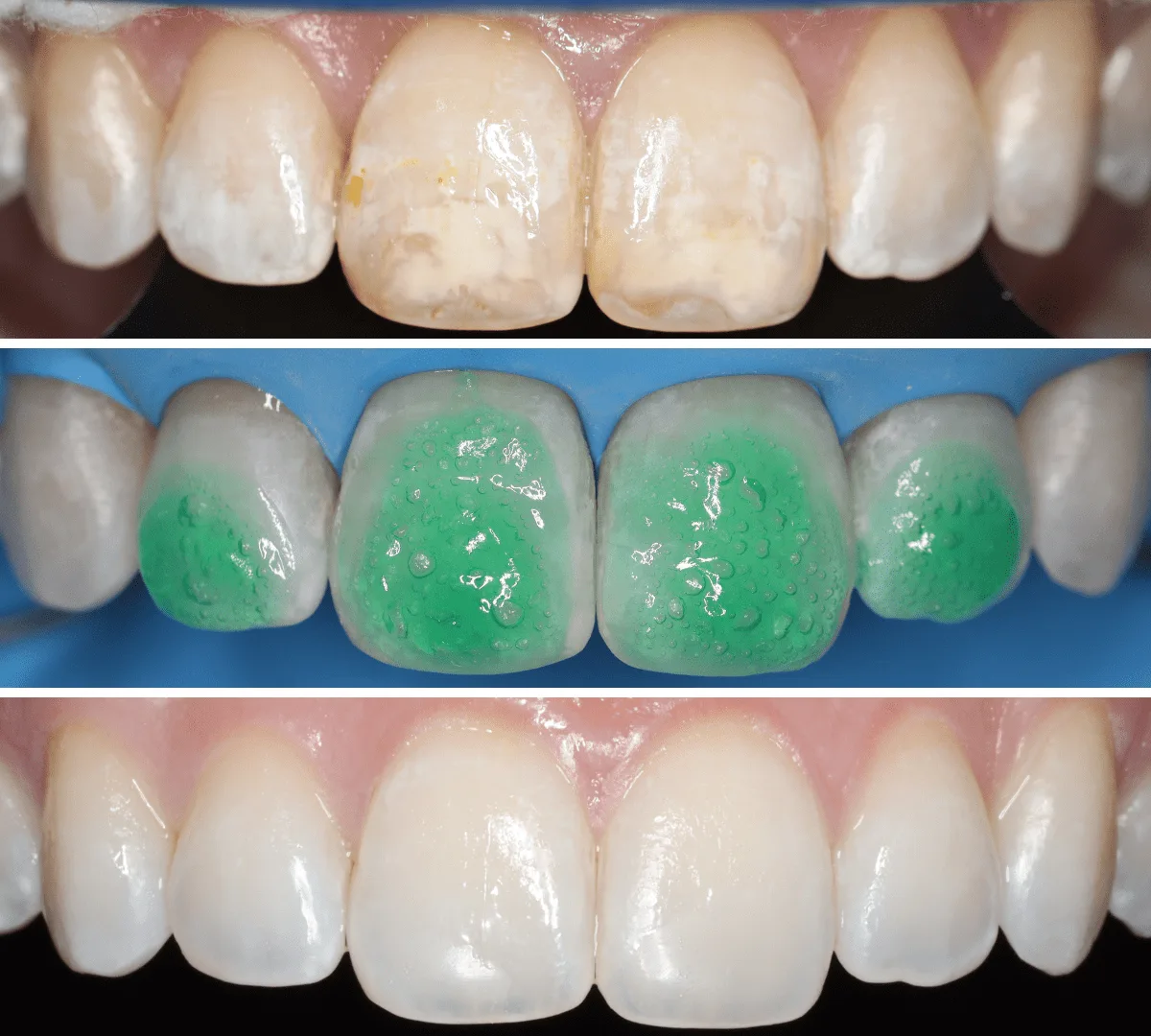
Microabrasão e infiltração de resinas
Contudo, se no final do branqueamento dentário ainda houver a necessidade de correção, opta-se normalmente por técnicas minimamente invasivas, nomeadamente: a microabrasão e a infiltração de resinas. Estas técnicas permitem uma alteração do efeito de refração da luz na superfície do dente disfarçando, ou mesmo anulando, a percepção destas manchas brancas.
Neste tipo de tratamento o desgaste da estrutura dentária é mínimo ou, em alguns casos, desnecessário e os resultados são bastante satisfatórios.
Este é um caso clínico de remoção de manchas inestéticas, que passou pela realização de um branqueamento dentário seguido de infiltração de resina através do Icon DMG® System. A tecnologia Icon DMG® System é uma técnica não invasiva que corrige estas lesões, sem provocar qualquer desgaste da estrutura dentária.
Restaurações Directas em Resina Composta e Facetas Dentárias
Por último, e em casos mais severos, nomeadamente em lesões extensas e/ou profundas pode haver a necessidade de remoção da camada de esmalte afetado. Neste caso, recorre-se a restaurações diretas em resina composta ou mesmo à colocação de facetas dentárias.
Tem manchas brancas nos dentes? Marque uma consulta de avaliação na nossa clínica, para avaliarmos as causas e indicarmos o tratamento mais adequado ao seu caso.
Restaurações Diretas em Resina Composta e Facetas Dentárias
Por último, e em casos mais severos, nomeadamente em lesões extensas e/ou profundas pode haver a necessidade de remoção da camada de esmalte afetado. Neste caso, recorre-se a restaurações diretas em resina composta ou mesmo à colocação de facetas dentárias.
Tem manchas brancas nos dentes? Marque uma consulta de avaliação na nossa clínica, para avaliarmos as causas e indicarmos o tratamento mais adequado ao seu caso.




