Caso Clínico — Restaurações Diretas e Branqueamento Dentário

Caso Clínico — Restaurações Diretas e Branqueamento Dentário

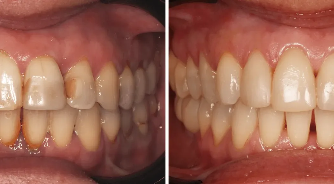
Esta paciente de 47 anos estava insatisfeita com o seu sorriso, principalmente com as restaurações antigas visíveis e inestéticas.  Com recurso a um branqueamento dentário e à realização de novas restaurações, conseguimos melhorar não só a estética, mas também a...
Caso Clínico — Ortodontia, Dentisteria e Implantologia

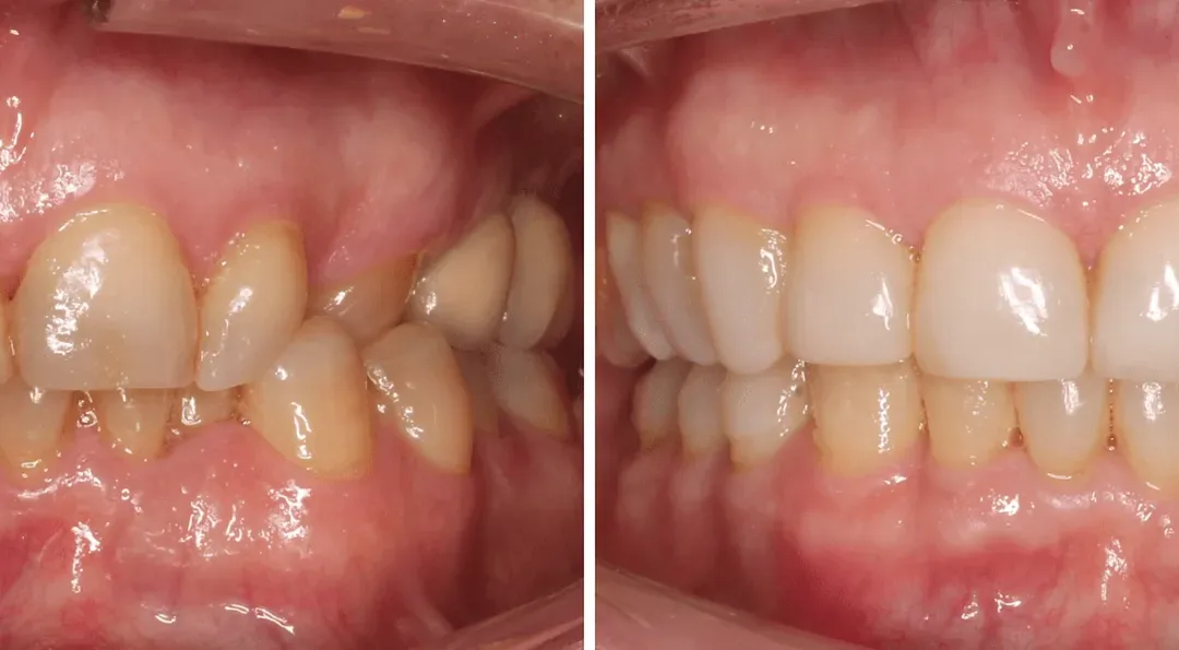
Caso Clínico — Ortodontia, Dentisteria e Implantologia

Aos 76 anos, esta paciente revelava um sorriso bastante inestético e com uma má oclusão. Com um forte trabalho de equipa e o envolvimento de várias especialidades, o plano de tratamento passou por: tratamento ortodôntico com alinhadores Invisalign®, colocação de um...
Caso Clínico — Preenchimento com Ácido Hialurónico

Caso Clínico — Preenchimento com Ácido Hialurónico

Esta paciente recorreu às nossas consultas de Harmonização Facial para aumentar o volume dos seus lábios. A solução para o seu caso passou pela aplicação de Ácido Hialurónico — uma substância que está naturalmente presente no nosso organismo — que permitiu conferir...
Caso Clínico — Restauração Direta em Resina Composta

Caso Clínico — Restauração Direta em Resina Composta

Pequenas quedas ou acidentes podem resultar num dente fraturado. Foi o caso deste paciente, com 13 anos, que fraturou um dente. Para devolver a forma e a função do dente, a Dr.ª Daniela Paiva realizou uma restauração direta em resina composta — um procedimento simples...