Caso Clínico — Restaurações Diretas

Caso Clínico — Restaurações Diretas

Este paciente (72 anos) há muito tempo que desejava mudar o seu sorriso. Contudo, os planos de tratamento mais complexos não eram uma possibilidade e chegou a acreditar que já não havia solução. Com o tratamento ortodôntico e a reabilitação com facetas em cerâmica...
Caso Clínico — Guided Biofilm Therapy (GBT)

Caso Clínico — Guided Biofilm Therapy (GBT)

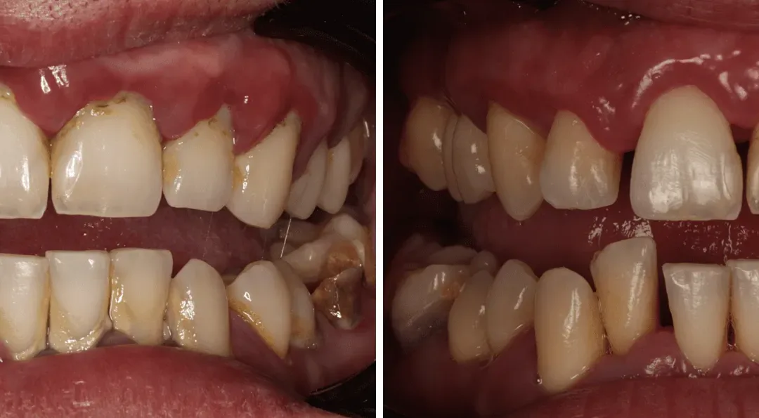
Este paciente apresentava acumulação de placa bacteriana e, por isso, a nossa Higienista Oral Yuliya Romanets recorreu ao Guided Biofilm Therapy (GBT) — a mais inovadora e precisa técnica de higiene oral. Desta forma, foi aplicado um corante nos dentes para...
Caso Clínico — Implantes Unitários, Endodontia e Dentisteria

Caso Clínico — Implantes Unitários, Endodontia e Dentisteria

Este paciente (69 anos) tinha alguns dentes em falta, um sorriso bastante inestético e também dificuldades na função mastigatória, o que afetava o seu bem-estar. A correção ortodôntica seria o tratamento ideal para alinhar os dentes, mas não era uma opção para o...
Caso Clínico — Restaurações Diretas

Caso Clínico — Restaurações Diretas

Em alguns casos, os espaços entre os dentes podem ser disfarçados, ou mesmo corrigidos, com recurso a restaurações.  Foi o caso desta paciente, com 53 anos, que estava insatisfeita com os espaços que tinha entre os dentes. A vontade de corrigir esse detalhe no sorriso...
Caso Clínico — Icon DMG® System

Caso Clínico — Icon DMG® System

Esta paciente (23 anos) realizou um tratamento ortodôntico na YOU. Contudo, o seu sorriso ainda precisava de uma melhoria: apresentava algumas manchas inestéticas que deveriam ser removidas. A solução para o seu caso passou então pela tecnologia ICON® de resina...