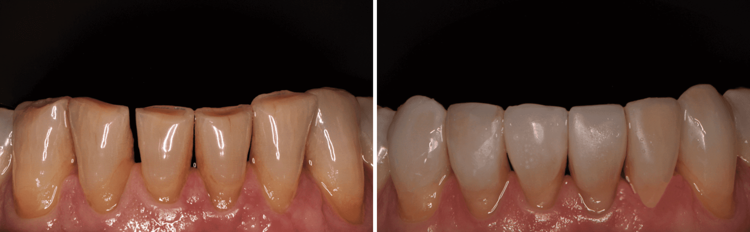
Esta paciente (61 anos) estava insatisfeita com o seu sorriso: tinha desgaste dentário e espaços entre os dentes antero-inferiores (na parte de baixo).
A solução para o seu caso passou pela realização de restaurações diretas em resina composta para corrigir a cor e a forma — anulando os espaços entre os dentes e resolvendo o desgaste —, mas preservando a saúde dos tecidos gengivais e a estrutura dentária.
Duração do tratamento: 1 consulta.
corpo clínico
equipa responsável
OMD 7534


