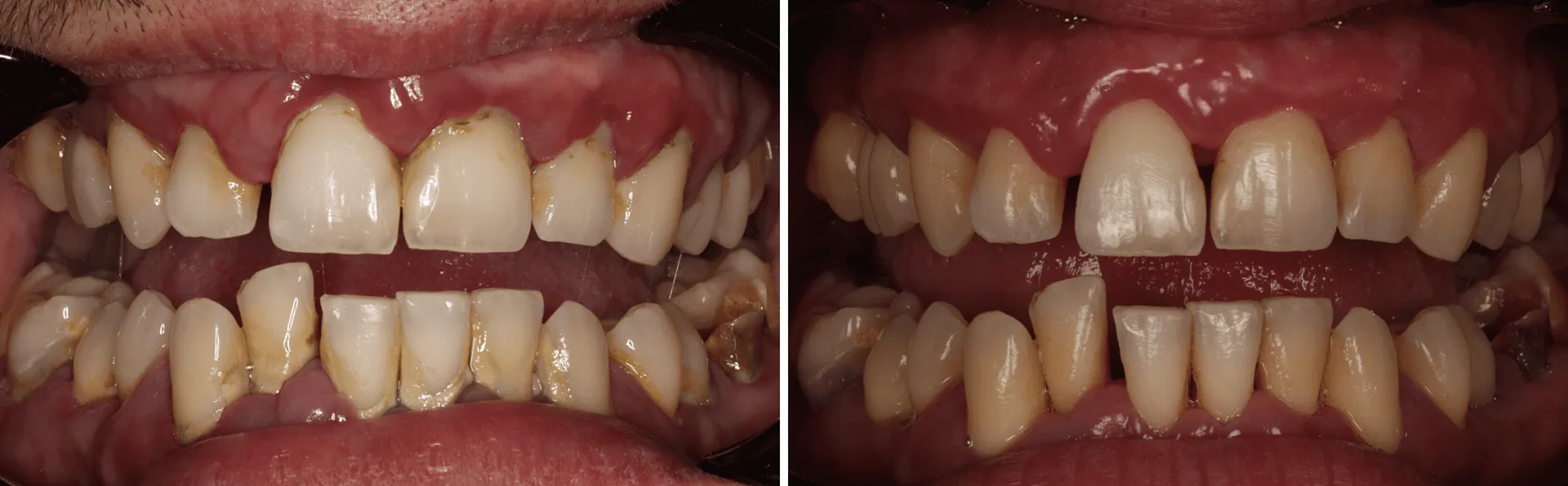
Este paciente apresentava acumulação de placa bacteriana e, por isso, a nossa Higienista Oral Yuliya Romanets recorreu ao Guided Biofilm Therapy (GBT) — a mais inovadora e precisa técnica de higiene oral.
Desta forma, foi aplicado um corante nos dentes para identificar exatamente as zonas de maior acumulação de bactérias. Posteriormente, removeu-se a placa bacteriana recorrendo ao AIRFLOW©.
O AIRFLOW© funciona com jatos de água aquecida, reduzindo o desconforto do procedimento e tornando a experiência muito mais confortável.
corpo clínico
equipa responsável
C-066949084


